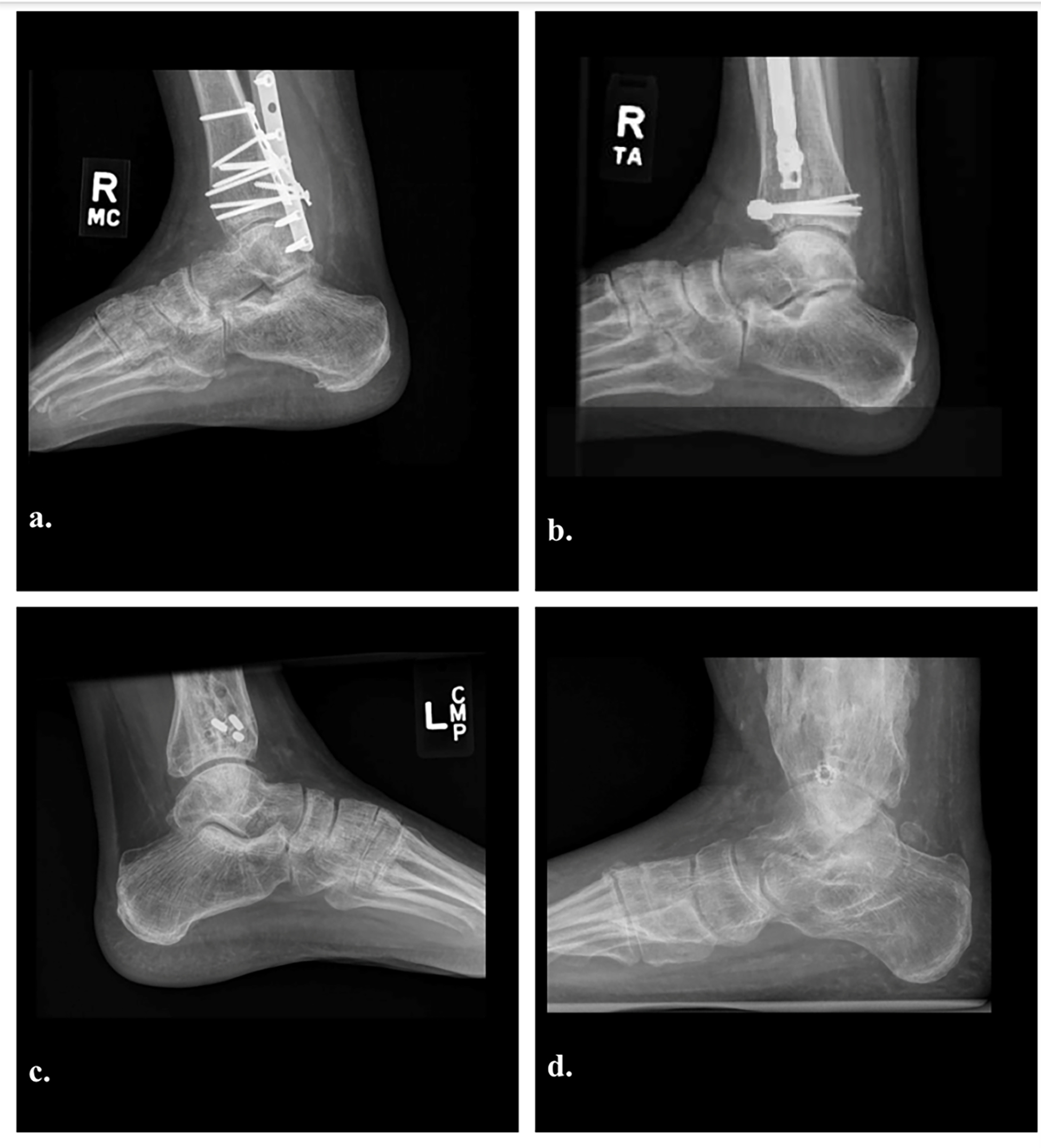
In this post, Surbhi Srinivas, BS and Raveena Joshi, BS reflect on recent findings regarding the development of subtalar arthritis after open reduction and internal
Author: OrthoBuzz
This post comes from the JBJS Clinical Classroom team. JBJS Clinical Classroom is an adaptive learning platform designed specifically to meet the needs of orthopaedic
New research in adult reconstructive knee surgery is discussed in the latest JBJS Specialty Update What’s New in Adult Reconstructive Knee Surgery. Here, we summarize
OrthoBuzz kicks off 2026 with an inspiring interview with Dr. Matt Schmitz. Readers may already be familiar with the “Editor’s Choice” posts that Dr. Schmitz regularly contributes to the blog, providing insights into key studies. Here, as part of our new “Inside JBJS” series, he discusses
New findings in musculoskeletal basic science are presented in the new JBJS Specialty Update What’s New in Musculoskeletal Basic Science. Here, we highlight 5 compelling
